1.5T MR诊断脑结核瘤
文章简介:脑结核瘤 脑结核瘤的症状,1.5T MR诊断脑结核瘤,1 材料与方法本组26例脑结核瘤患者,男16例,女10例,年龄16~75岁,平均年龄46.5岁。胸部发现结核病灶24例,其中浸润型15例,粟粒型9例。脊柱结核1例,另外1例未发现明确的颅外结核灶。部...
1 材料与方法
本组26例脑结核瘤患者,男16例,女10例,年龄16~75岁,平均年龄46.5岁。胸部发现结核病灶24例,其中浸润型15例,粟粒型9例。脊柱结核1例,另外1例未发现明确的颅外结核灶。部分病例查体除有脑膜刺激征和颅内压增高体征外,还有后组颅神经受损和小脑体征。20例脑脊液检查符合结核性脑膜炎的表现。
26例全部行MR平扫和Gd-DTPA强化扫描,成像设备采用Philips Gyroscan Acs-NT 1.5T超导磁共振,层厚7mm,间隔8mm。常规SE序列,T1WI:TR/TE = 500/15ms,T2WI:TR/TE=1200/120ms;FSE序列:T2WI:TR/TE = 3000/90ms。矢、冠、轴位扫描。
2 结果
2.1 26例脑结核瘤中单发6例,多发17例,共112个病灶,粟粒性结核3例。小脑幕上病变18例,共103个病灶(占91.9%),幕下5例,9个病灶(占8.1%)。粟粒性脑结核瘤呈散在广泛分布,以幕上为主。
2.2 结核瘤并发结核性脑膜炎20例,3例粟粒性脑结核均同时伴有结核性脑膜炎;其中16例基底池脑膜增厚伴基底池闭塞,12例同时伴有环池及侧裂池狭窄或闭塞;4例大脑凸面脑膜增厚,2例伴梗阻性脑积水,7例显示双侧大脑中动脉狭窄。增强扫描示脑膜呈条状、斑块状或结节状强化;3例脑基底部脑膜呈串珠样小结节强化,强化方式以蛛网膜-蛛网膜下腔强化为主;3例同时伴有硬脑膜-硬膜下强化。
2.3 脑结核瘤的MRI影像学特征 ①成熟期19例。其中,干酪性实性中心结核瘤发现28个病灶,周围见轻度水肿带,T1WI呈低或等信号,T2WI呈等或高信号,增强呈环状或花环状强化,强化环壁厚度0.5~1.5cm;干酪性液性中心结核瘤发现50个病灶,周围无或有轻度水肿带,T1WI瘤壁呈等或略低信号,瘤体内呈混杂信号,T2WI瘤壁呈等或略高信号,瘤体内呈混杂信号,增强呈环状强化,壁欠光滑且厚薄不均匀,厚度约0.5~1.0cm。+
②未成熟期4例,共34个病灶,病灶周围见3.0~8.0cm的水肿带,其中12个达8.0cm ,T1WI呈等或略低信号,T2WI呈高信号,增强后呈均匀结节状强化。

图1 第四脑室内结核瘤。

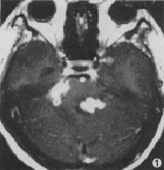
图2 右侧顶叶脑结核瘤内以长T1长T2信号为主的混杂信号,瘤周水肿较重。

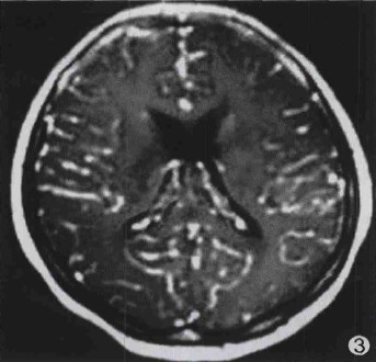
图3 蛛网膜-蛛网膜下腔强化方式为主,同时右额部硬脑膜强化。

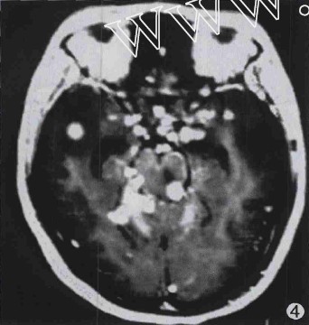
图4 鞍上池、环池、双侧裂池结节状脑膜强化。
3 讨论
颅内结核是由体内的原发性结核经血行播散所致,原发灶以肺结核为主,也可由于骨结核、消化系统或泌尿系统的结核播散引起,少部分病人并无颅外结核发现。本病发病部位比较广泛,从大脑、脑干到小脑均有分布,有报道偶尔可发生于硬脑膜、四叠体甚至垂体等部位。本组病例肺结核病史约占66.7% ,有相当比例的播散型肺结核,且颅内病变部位以幕上为多, 达91.9%。
本组多发病变达76.8%,明显高于既往文献报道,其原因与磁共振的分辨率有关:目前应用的高场磁共振分辨率远远高于以往应用的中低场磁共振,因而能发现更多更小的以往使用低场磁共振所不能发现的病灶。Wasay对100例脑结核瘤的CT与MRI进行回顾性分析时也提到这一特点[1]。
结核瘤从非成熟期到成熟期的发展过程中伴随着多种成分的变化,磁共振表现为不同时期复杂多变的信号。高场磁共振对不同信号的鉴别能力提高,本组观察到了未成熟期结核瘤周围更大范围的水肿以及成熟期数目更多、信号更复杂的结核瘤。以往文献中提到以强化环中心出现点状强化(即所谓的“靶征”)作为脑结核瘤特征性表现,但本组无1例有此征象[2]。
一般认为平扫对脑结核瘤诊断价值不大。本组病例中,成熟期干酪液化结核瘤,在平扫时即可见到厚壁环状结核瘤壁,环内可见长T1、长T2混杂信号影。本组19例50个结核瘤有此种表现(占72%),故认为MR平扫对本病的定性诊断具有一定的意义。静脉注射Gd-DTPA后可以发现更多其他类型的结核瘤。
结核菌在神经系统不仅可以引起增殖性病变,还引起渗出性病变,渗出物沉积于脑底部蛛网膜下腔及外侧裂池,影响脑脊液循环,造成脑室间孔及导水管狭窄,导致阻塞性脑积水;如果脉络膜丛受侵犯,脑脊液分泌过多,还可造成交通性脑积水。
高场MRI不仅能更准确清晰地反映脑结核瘤的病理演变过程,并且能发现更多同时伴发脑膜炎的改变。Kilani报道的122例脑结核瘤病人中有119例伴发脑膜炎[3],本组26例病人中有20例病人同时伴发脑膜炎的改变。
虽然颅内结核瘤在MRI上有一定的特征性,具有肺结核病史、颅脑MRI示T1WI呈等或略低信号、T2WI呈等或略高信号的多发占位性病变、不均匀花环状厚壁强化、环内核心部分呈长T1长T2混杂信号等征象具有较高诊断价值,同时基底池脑膜强化是脑结核瘤较具特征性的MRI表现,但成胶质细胞瘤、肉芽肿、脑脓肿、转移瘤、脑内新型隐球菌病肉芽肿等亦可出现相似的MRI表现,在诊断时需进行鉴别[4]。
(责任编辑:编辑102)
- 上一篇:脑结核瘤有哪些预防措施?
- 下一篇:老年人头痛的四种病因



